Kiến thức nha khoa

Bảng giá niềng răng 2026 tại Teennie: Cập nhật mới nhất theo từng phương pháp

Chi phí niềng răng năm 2026 tại Việt Nam dao động từ 32 triệu đến 154 triệu đồng tùy phương pháp. Theo khảo sát của Hội Chỉnh nha Việt Nam, khoảng 67% bệnh nhân chọn niềng răng mắc cài dây thẳng vì cân bằng giữa hiệu quả điều trị và chi phí hợp lý (Nguồn: Hội Chỉnh nha Việt Nam, 2025). Bài viết này cung cấp bảng giá chi tiết từng phương pháp niềng răng tại Teennie, phân tích các yếu tố ảnh hưởng đến chi phí và hướng dẫn cách chọn phương pháp phù hợp với ngân sách của bạn.

Các điểm chính:

• Chi phí niềng răng 2026 từ 32 triệu (mắc cài kim loại) đến 154 triệu đồng ( invisalign), đã bao gồm toàn bộ tái khám và hàm duy trì.

• 67% bệnh nhân Việt Nam chọn niềng răng mắc cài dây thẳng (Nguồn: Hội Chỉnh nha Việt Nam, 2025).

• Teennie hỗ trợ trả góp 0% lãi suất, trả trước 0 đồng, giúp giảm áp lực tài chính.

• Giá rẻ bất thường (dưới 20 triệu) thường đi kèm rủi ro về chất lượng vật liệu và tay nghề bác sĩ.

• Chi phí thực tế phụ thuộc vào mức độ lệch, phương pháp và liệu trình điều trị cá nhân.

Bảng giá niềng răng 2026 tại Teennie có gì mới?

Chi phí niềng răng tại Teennie năm 2026 bắt đầu từ 32 triệu đồng cho mắc cài kim loại thường và lên đến 154 triệu đồng cho máng invisaligh. Theo báo cáo của VnExpress, giá niềng răng trung bình tại TP.HCM tăng khoảng 8-12% so với năm 2024 do chi phí vật liệu nhập khẩu tăng (Nguồn: VnExpress, 2025). Teennie cam kết giá trọn gói, không phát sinh.

Bảng giá chi tiết theo từng phương pháp:

Phương pháp Giá trọn gói (VND) Thời gian điều trị Phù hợp với
Mắc cài kim loại thường 32.000.000 – 51.000.000 12-36 tháng Người muốn tiết kiệm chi phí, rút ngắn thời gian niềng
Mắc cài kim loại tự buộc 46.000.000 – 63.000.000 16-36 tháng Người muốn giảm số lần tái khám
Mắc cài sứ thường 43.000.000 – 66.000.000 18-36 tháng Người cần thẩm mỹ khi điều trị
Mắc cài sứ tự buộc 45.000.000 – 75.000.000 18-34 tháng Người ưu tiên thẩm mỹ và tiện lợi
Máng invisalign 105.000.000 – 154.000.000 20-30 tháng Người cần thẩm mỹ tuyệt đối

Giá trên đã bao gồm: Chụp film X-quang/ CT khảo sát, phác đồ điều trị cá nhân hoá, mắc cài, khí cụ, dây cung, dây thun , sáp chỉnh nha lần đầu, toàn bộ lần tái khám chỉnh nha, 2 cặp máng duy trì sau khi tháo niềng. Không phát sinh chi phí trong quá trình niềng.

Tại Teennie, 100% bảng giá được niêm yết công khai và áp dụng đồng nhất cho mọi bệnh nhân. Mức giá chỉ thay đổi dựa trên phương pháp và mức độ phức tạp của trường hợp.

Capsule trích dẫn: Chi phí niềng răng tại Teennie năm 2026 dao động từ 32 triệu đến 154 triệu đồng tùy phương pháp, đã bao gồm toàn bộ chi phí từ khám ban đầu đến hàm duy trì. Mắc cài kim loại kinh điển (35-45 triệu) là lựa chọn phổ biến nhất, chiếm khoảng 40% bệnh nhân tại phòng khám (Nguồn: Dữ liệu nội bộ Teennie, 2026).

Chi phí niềng răng gồm những gì?

Một liệu trình niềng răng bao gồm 5-7 hạng mục chi phí chính. Theo Hội Chỉnh nha Thế giới (WFO), chi phí vật liệu mắc cài chỉ chiếm khoảng 15-20% tổng chi phí điều trị, phần lớn là chi phí chuyên môn của bác sĩ (Nguồn: World Federation of Orthodontists, 2024). Hiểu rõ cấu trúc chi phí giúp bạn so sánh chính xác giữa các phòng khám.

Bảng phân tích chi phí chi tiết

Hạng mục Mô tả Tỷ trọng
Khám và tư vấn ban đầu Khám lâm sàng, đánh giá chi tiết tình trạng răng 2-3%
Chụp phim và chẩn đoán Film x-quang (Panorama,Cepha mặt phẳng, sọ thẳng),CT cone beam, ảnh chụp ngoài mặt và trong miệng 5-8%
Vật liệu mắc cài và dây cung Mắc cài (kim loại/sứ), dây cung, thun, khí cụ 15-20%
Công điều trị của bác sĩ Lập kế hoạch, gắn mắc cài, điều trị định kì tái khám 45-55%
Tái khám định kỳ Mỗi 4-6 tuần/lần, kéo dài 18-30 tháng Bao gồm
Hàm duy trì (retainer) Hàm giữ kết quả sau khi tháo mắc cài Bao gồm
Xử lý phát sinh (nếu có) Dịch vụ tổng quát: cạo vôi răng, trám răng, điều trị tuỷ,… (tùy trường hợp) Báo riêng

Điều quan trọng nhất cần lưu ý: giá niềng răng “trọn gói” nghĩa là bạn chỉ trả một lần (hoặc trả góp) và không lo thêm chi phí tái khám. Một số phòng khám niêm yết giá thấp nhưng thu thêm phí mỗi lần tái khám và phí góp hàng tháng, khiến tổng chi phí thực tế cao hơn nhiều.

Bạn có bao giờ tự hỏi tại sao giá niêm yết ban đầu rẻ nhưng tổng chi phí lại đắt? Giá ví dụ 20 triệu nhưng thu 500.000 đồng mỗi lần tái khám, nhân với 20-25 lần, tổng chi phí tăng thêm 10-12 triệu. Kết quả là bạn trả gần bằng hoặc hơn giá trọn gói.

Nhiều bệnh nhân đến Teennie sau khi đã bắt đầu niềng ở nơi khác và gặp phải chi phí phát sinh ngoài dự kiến. Đây là lý do Teennie áp dụng chính sách giá trọn gói minh bạch từ ngày đầu.

Capsule trích dẫn: Vật liệu mắc cài chỉ chiếm 15-20% tổng chi phí niềng răng, trong khi công chuyên môn của bác sĩ chiếm 45-55%. Việc so sánh giá chỉ dựa trên loại mắc cài mà bỏ qua trình độ bác sĩ có thể dẫn đến lựa chọn sai lầm (Nguồn: World Federation of Orthodontists, 2024).

Yếu tố nào ảnh hưởng đến chi phí niềng răng?

Không có hai trường hợp niềng răng nào giống nhau hoàn toàn. Theo nghiên cứu của Tạp chí Chỉnh nha Hoa Kỳ (AJO-DO), mức độ phức tạp của sai lệch khớp cắn có thể làm thay đổi chi phí điều trị lên đến 40% (Nguồn: American Journal of Orthodontics and Dentofacial Orthopedics, 2024). Dưới đây là 6 yếu tố chính quyết định giá niềng răng của bạn.

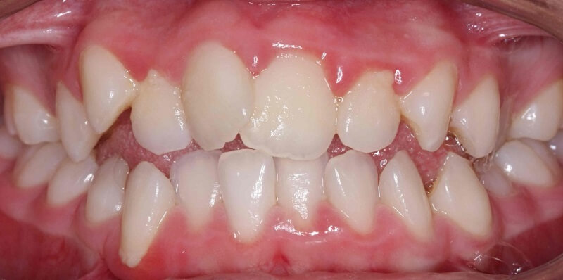
Mức độ lệch của răng và khớp cắn

bang gia nieng rang 2026 tai teennie cap nhat moi nhat theo tung phuong phap 2

Mức độ lệch răng ảnh hưởng trực tiếp đến thời gian điều trị và tổng chi phí niềng răng

Trường hợp lệch nhẹ (chen chúc nhẹ, khe thưa nhẹ) thường ở mức giá thấp của bảng giá. Trường hợp phức tạp (cắn ngược, cắn sâu, lệch hàm nghiêm trọng) cần thời gian dài hơn và kỹ thuật phức tạp hơn, do đó chi phí cao hơn.

Phương pháp niềng răng

Đây là yếu tố ảnh hưởng lớn nhất. Mắc cài kim loại thường có giá thấp nhất. Mắc cài sứ đắt hơn do vật liệu bằng sứ thẩm mỹ. Máng invisalign (niềng trong suốt) có giá cao nhất vì mang tính thẩm mỹ cao khó nhận biết.

Trình độ và kinh nghiệm bác sĩ

bang gia nieng rang 2026 tai teennie cap nhat moi nhat theo tung phuong phap 3

Lựa chọn bác sĩ giàu kinh nghiệm giúp tối ưu kết quả niềng răng và tránh phát sinh chi phí

Bác sĩ chỉnh nha chuyên sâu (đã hoàn thành chương trình đào tạo chỉnh nha 2-3 năm sau đại học) thường có chi phí điều trị cao hơn bác sĩ răng hàm mặt tổng quát. Tuy nhiên, đầu tư vào trình độ bác sĩ là đầu tư vào kết quả điều trị.

Bạn có bao giờ tự hỏi tại sao cùng là mắc cài kim loại mà giá chênh lệch giữa các phòng khám? Câu trả lời nằm chủ yếu ở trình độ bác sĩ và chất lượng dịch vụ, không phải ở loại mắc cài mà bạn chọn.

Vị trí phòng khám

Phòng khám tại khu vực trung tâm TP.HCM thường có chi phí cao hơn 10-15% so với vùng ngoại thành. Điều này phản ánh chi phí vận hành, không nhất thiết phản ánh chất lượng điều trị.

Có cần nhổ răng hay không

Khoảng 50-60% trường hợp niềng răng cần nhổ răng để tạo khoảng (Nguồn: Hội Chỉnh nha Việt Nam, 2025). Tuy nhiên sẽ tuỳ theo từng trường hợp mà bác sĩ chỉ định. Chi phí nhổ răng thường từ 500.000 đến 2.000.000 đồng mỗi răng tùy vị trí và độ khó. Đây là chi phí phát sinh ngoài gói niềng răng.

Công nghệ hỗ trợ

Phòng khám sử dụng CT Cone Beam 3D, phần mềm mô phỏng kết quả điều trị và quy trình số hóa sẽ có chi phí cao hơn nhưng mang lại độ chính xác và hiệu quả điều trị tốt hơn.

Capsule trích dẫn: Mức độ phức tạp của sai lệch khớp cắn có thể làm thay đổi chi phí niềng răng đến 40%, theo nghiên cứu của Tạp chí Chỉnh nha Hoa Kỳ. Việc thăm khám trực tiếp để bác sĩ đánh giá là cách duy nhất biết chính xác chi phí điều trị của bạn (Nguồn: AJO-DO, 2024).

So sánh giá các phương pháp niềng răng: Nên chọn loại nào?

Mắc cài kim loại kinh điển đang là phương pháp được chọn nhiều nhất tại Việt Nam, chiếm khoảng 35-40% thị trường niềng răng (Nguồn: Hội Chỉnh nha Việt Nam, 2025). Mỗi phương pháp có ưu và nhược điểm riêng, và lựa chọn phù hợp phụ thuộc vào nhu cầu thẩm mỹ, ngân sách và tình trạng răng của bạn.

Mắc cài kim loại thường

Giá: 32.000.000 – 51.000.000 VND. Đây là phương pháp truyền thống với lịch sử hơn 50 năm. Mắc cài kim loại nhỏ gọn, tiết diện mỏng, bền, và cho phép bác sĩ kiểm soát chính xác chuyển động răng=> giúp rút ngắn thời gian điều trị, hiệu quả nhanh. Nhược điểm duy nhất là lộ rõ khi cười. Phù hợp với học sinh, sinh viên, nhân viên văn phòng hoặc người không quá quan tâm thẩm mỹ trong quá trình điều trị.

Mắc cài kim loại tự buộc (self-ligating)

Giá: 46.000.000 – 63.000.000 VND. Mắc cài tự buộc sử dụng cơ chế nắp trượt thay cho dây thun buộc, thiết kế dày hơn so với mắc cài kinh điển, có thể rút ngắn thời gian điều trị 2-4 tháng. Số lần tái khám cũng ít hơn (6-8 tuần/lần thay vì 4 tuần).

Mắc cài sứ thường

Giá: 43.000.000 – 66.000.000 VND. Mắc cài làm từ sứ thẩm mỹ, màu gần với răng tự nhiên nên ít lộ hơn mắc cài kim loại. Hiệu quả điều trị tương đương nhưng giá thành cao hơn khoảng 30-40%. Cần lưu ý mắc cài sứ dễ bị nhiễm màu thực phẩm (cà phê, trà, nước mắm) nếu không vệ sinh kỹ.

Mắc cài sứ tự buộc

Giá: 45.000.000 – 75.000.000 VND. Kết hợp ưu điểm của cả hai: thẩm mỹ của sứ và tiện lợi của cơ chế tự buộc. Đây là lựa chọn “premium” trong dòng mắc cài ngoài. Phù hợp với người đi làm, thường xuyên giao tiếp và muốn quá trình điều trị thoải mái nhất có thể.

Máng Invisalign

Giá: 105.000.000 – 154.000.000 VND. Khay niềng trong suốt nên mang tính thẩm mỹ cao, khó nhận biết. Thuận tiện chăm sóc răng miệng và ăn uống hàng ngày, do khay có thể tháo lắp dễ dàng. Cần đeo khay niềng đủ 22h/ngày mới đảm bảo đạt hiệu quả theo phác đồ điều trị.

Nhiều bệnh nhân hỏi về niềng răng trong (khay trong) nhưng thực tế, với các trường hợp lệch vừa đến nặng như bộc lộ răng ngầm…,khay trong sẽ không giải quyết được thay vì mắc cài dây thẳng cho kết quả chính xác và ổn định hơn. Đây là lý do Teennie chuyên sâu vào niềng răng dây thẳng,

Tiêu chí Kim loại thường Kim loại tự buộc Sứ thường Sứ tự buộc Mặt trong
Giá (triệu VND) 32-51 46-63 43-66 45-75 105-154
Thẩm mỹ Thấp Thấp Trung Bình Trung Bình Cao
Thời gian điều trị 12-36 tháng 16-36 tháng 18-36 tháng 18-34 tháng 20-30 tháng
Tần suất tái khám 4 tuần/lần 6-8 tuần/lần 4 tuần/lần 6-8 tuần/lần 4-6 tuần/lần
Độ bền Rất cao Rất cao Cao Cao Cao
**Capsule trích dẫn:** Mắc cài kim loại kinh điển chiếm 35-40% thị trường niềng răng tại Việt Nam nhờ cân bằng giữa hiệu quả và chi phí. So với mắc cài thường, hệ thống tự buộc giảm ma sát, rút ngắn thời gian điều trị 2-4 tháng và giảm số lần tái khám (Nguồn: Hội Chỉnh nha Việt Nam, 2025).

Niềng răng trả góp tại Teennie: 0 đồng trả trước, 0% lãi suất, có thật không?

bang gia nieng rang 2026 tai teennie cap nhat moi nhat theo tung phuong phap 4

Chính sách trả góp tại Teennie giúp giảm áp lực chi phí niềng răng ban đầu

Có. Teennie là một trong số ít phòng khám nha khoa chỉnh nha tại TP.HCM áp dụng chính sách trả góp 0% lãi suất, trả trước 0 đồng. Theo khảo sát của Tuổi Trẻ, 45% bệnh nhân cho biết chi phí là rào cản lớn nhất khi cân nhắc niềng răng (Nguồn: Tuổi Trẻ Online, 2025). Chương trình trả góp giúp xóa bỏ rào cản này.

Chính sách trả góp cụ thể

Teennie hỗ trợ trả góp theo nhiều hình thức:

  • Trả góp trực tiếp tại phòng khám: chia nhỏ thanh toán theo tiến độ điều trị tái khám.
  • Trả trước 0 đồng: bắt đầu điều trị ngay, thanh toán dần trong quá trình tái khám.

Vì sao Teennie làm được điều này?

Liệu trình niềng răng được kéo dài 12-36 tháng với nhiều lần tái khám. Teennie hỗ trợ trả góp trực tiếp tại phòng khám không thông qua ngân hàng, không phát sinh lãi suất phù hợp với từng khách hàng

Nói cách khác, bạn không cần có sẵn 25-60 triệu đồng mới bắt đầu niềng răng. Chi phí có thể được chia đều hàng tháng, mỗi tháng chỉ từ 1-3 triệu đồng tùy phương pháp.

**Capsule trích dẫn:** 45% bệnh nhân cho biết chi phí là rào cản lớn nhất khi cân nhắc niềng răng, theo khảo sát của báo Tuổi Trẻ. Chương trình trả góp 0% lãi suất với mức trả trước 0 đồng tại Teennie giúp bệnh nhân bắt đầu điều trị ngay mà không cần chuẩn bị trước một khoản tiền lớn (Nguồn: Tuổi Trẻ Online, 2025).

Niềng răng giá rẻ có tốt không? Cảnh báo rủi ro bạn cần biết

bang gia nieng rang 2026 tai teennie cap nhat moi nhat theo tung phuong phap 5

Chi phí niềng răng quá thấp có thể đi kèm với nguy cơ biến chứng và kết quả không như mong đợi

Giá niềng răng dưới 20 triệu đồng nên được xem là tín hiệu cảnh báo. Theo Cục Quản lý Khám chữa bệnh (Bộ Y tế), số lượng khiếu nại liên quan đến niềng răng tăng 23% trong giai đoạn 2023-2025, phần lớn từ các cơ sở niêm yết giá thấp bất thường (Nguồn: Cục Quản lý Khám chữa bệnh, 2025). Rẻ không có nghĩa là tiết kiệm nếu kết quả không đạt.

5 rủi ro khi chọn niềng răng giá quá rẻ

Thứ nhất, vật liệu kém chất lượng. Mắc cài giá rẻ thường làm từ hợp kim không rõ nguồn gốc, dễ gây dị ứng niken, gãy mắc cài hoặc biến dạng trong quá trình điều trị. Vật liệu kém chịu lực không thể duy trì áp lực đều đặn lên răng.

Thứ hai, bác sĩ không chuyên khoa. Một số cơ sở sử dụng bác sĩ răng hàm mặt tổng quát hoặc thậm chí kỹ thuật viên để thực hiện niềng răng. Chỉnh nha là chuyên khoa sâu, đòi hỏi đào tạo thêm 2-3 năm sau tốt nghiệp nha khoa.

Thứ ba, thiếu thiết bị chẩn đoán. Không chụp CT Cone Beam, không phân tích phim cephalometric đúng chuẩn dẫn đến kế hoạch điều trị thiếu chính xác. Răng có thể di chuyển sai hướng.

Thứ tư, chi phí phát sinh liên tục. Giá ban đầu 12-15 triệu nhưng mỗi lần tái khám thu thêm 300.000-500.000 đồng. Thêm phí nhổ răng, phí hàm duy trì, phí xử lý biến chứng. Tổng chi phí thực tế có thể vượt 40-50 triệu.

Thứ năm, không có kế hoạch điều trị rõ ràng. Bệnh nhân không được giải thích mục tiêu điều trị, thời gian dự kiến, các bước cần thực hiện. Khi gặp vấn đề, không biết phải xử lý thế nào.

Vậy làm sao phân biệt phòng khám uy tín và không uy tín? Hãy hỏi 3 câu trước khi quyết định: (1) Bác sĩ có chứng chỉ chuyên khoa chỉnh nha không? (2) Giá đã bao gồm những gì và có phát sinh thêm không? (3) Có hợp đồng điều trị bằng văn bản không?

Teennie tiếp nhận không ít bệnh nhân cần “sửa lại” sau khi niềng ở cơ sở giá rẻ. Chi phí sửa thường cao hơn so với chi phí điều trị từ ban đầu, và thời gian điều trị kéo dài hơn. Đây là bài học đắt giá mà chúng tôi mong bạn không phải trải qua.

Capsule trích dẫn: Khiếu nại liên quan đến niềng răng tại Việt Nam tăng 23% trong giai đoạn 2023-2025, phần lớn từ các cơ sở niêm yết giá thấp bất thường. Chi phí sửa lại trường hợp niềng hỏng thường bằng hoặc cao hơn làm mới từ đầu (Nguồn: Cục Quản lý Khám chữa bệnh, Bộ Y tế, 2025).

Câu hỏi thường gặp về giá niềng răng

Niềng răng giá bao nhiêu tiền năm 2026?

Chi phí niềng răng năm 2026 tại Việt Nam dao động từ 32 triệu đến 154 triệu đồng tùy phương pháp. Mắc cài kim loại thường từ 32-63 triệu, mắc cài sứ từ 43-75 triệu, mắc cài mặt trong từ 105-154 triệu. Giá đã bao gồm toàn bộ chi phí niềng và hàm duy trì tại Teennie. Theo Hội Chỉnh nha Việt Nam, giá trung bình tăng 8-12% so với 2024 do chi phí vật liệu nhập khẩu (Nguồn: Hội Chỉnh nha Việt Nam, 2025).

Niềng răng trả góp có phải trả lãi không?

Tại Teennie, chương trình trả góp áp dụng lãi suất 0%, trả trước 0 đồng. Bạn có thể chia nhỏ thanh toán theo tiến độ điều trị hoặc qua thẻ tín dụng với các ngân hàng đối tác. Mỗi tháng chỉ từ 1-3 triệu đồng tùy phương pháp, giúp giảm áp lực tài chính đáng kể.

Mắc cài kim loại và mắc cài sứ khác nhau thế nào về giá?

Mắc cài sứ đắt hơn mắc cài kim loại khoảng 30-40% do vật liệu thẩm mỹ. Cụ thể, mắc cài kim loại thường từ 32-51 triệu trong khi mắc cài sứ thường từ 43-66 triệu. Hiệu quả điều trị tương đương nhau, sự khác biệt chính nằm ở thẩm mỹ. Mắc cài sứ có màu gần răng tự nhiên, ít lộ khi cười.

Tại sao giá niềng răng chênh lệch giữa các phòng khám?

Trình độ bác sĩ chiếm 45-55% cấu trúc chi phí niềng răng (Nguồn: WFO, 2024). Phòng khám có bác sĩ chuyên khoa chỉnh nha, trang thiết bị hiện đại và chính sách giá trọn gói sẽ có mức giá cao hơn cơ sở sử dụng bác sĩ tổng quát và thu phí phát sinh. Giá cao hơn không phải lúc nào cũng đắt, và giá thấp hơn không phải lúc nào cũng rẻ.

Niềng răng có được bảo hiểm y tế chi trả không?

Hiện tại, bảo hiểm y tế tại Việt Nam không chi trả chi phí niềng răng vì đây được xem là điều trị thẩm mỹ. Một số bảo hiểm sức khỏe tư nhân có thể hỗ trợ một phần chi phí nhổ răng liên quan, nhưng cần kiểm tra kỹ điều khoản hợp đồng. Cách thực tế nhất để giảm áp lực tài chính là sử dụng chương trình trả góp 0%.

Kết luận: Đầu tư đúng cho nụ cười lâu dài

Chi phí niềng răng là khoản đầu tư lớn, nhưng đây là khoản đầu tư cho sức khỏe và sự tự tin kéo dài cả đời. Với bảng giá từ 32 đến 154 triệu đồng tùy phương pháp, điều quan trọng không phải là tìm giá rẻ nhất mà là tìm giá trị tốt nhất cho số tiền bạn bỏ ra.

Tại Teennie, mọi liệu trình niềng răng được thực hiện bởi bác sĩ chuyên khoa chỉnh nha, sử dụng vật liệu chính hãng và áp dụng giá trọn gói minh bạch. Chương trình trả góp 0% lãi suất, trả trước 0 đồng giúp bạn bắt đầu ngay mà không cần lo lắng về tài chính.

Hãy đặt lịch tư vấn tại Teennie để được bác sĩ thăm khám và đánh giá tình trạng răng miễn phí nhận bảng giá chính xác cho trường hợp của bạn.

Teennie – Nha khoa chuyên sâu niềng răng dây thẳng

Địa chỉ: Số 5 Kỳ Đồng, Phường Nhiêu Lộc, TP.HCM

Hotline: 0836 068 680

Website: teennie.vn

*Bài viết mang tính tham khảo. Vui lòng đến phòng khám để được tư vấn cụ thể cho trường hợp của bạn.*

Chat zalo
Chat Facebook